糖尿病引发眼部出血,特别是眼底出血,是糖尿病视网膜病变的一种常见并发症,南昌洪城爱尔眼科医院的医生们认为,这是一个相对复杂且紧要的问题,通常与高血糖导致的视网膜血管损伤有关。

一、出血原因
1.高血糖损伤:长期的高血糖状态会导致视网膜血管壁变脆弱,易于破裂出血。这是因为高血糖会引起血管壁的结构改变,降低其弹性和韧性。
2.视网膜血管阻塞:糖尿病引起的血管病变可能导致视网膜血管阻塞,造成局部缺血缺氧。这种缺血缺氧状态会促使新生血管的形成,而这些新生血管的结构通常较为脆弱,容易发生破裂出血。
3.免疫功能异常:糖尿病患者的免疫功能可能受到影响,导致免疫复合物沉积在视网膜血管壁上。这种沉积物会引起血管壁的损伤和炎症反应,进而引发眼底出血。
4.微血管瘤形成:在糖尿病视网膜病变的过程中,视网膜上可能形成微血管瘤。这些微血管瘤易于破裂出血,是糖尿病眼部出血的一个重要原因。

二、出血表现
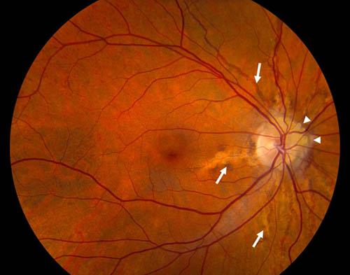
糖尿病引发的眼部出血通常表现为眼底出血,可能伴有视力下降、视野模糊等症状。出血点可能出现在视网膜的不同部位,包括黄斑区等关键视觉区域。
三、南昌洪城爱尔眼科医院治疗与预防
1.非手术治疗
控制血糖:首先,关键的是要控制好血糖水平。高血糖是导致眼部出血的根本原因,因此通过饮食调整、药物治疗或胰岛素注射等方式,将血糖控制在正常范围内,有助于减轻眼部血管的损伤。
激光治疗:激光治疗是糖尿病视网膜病变常用的治疗方法之一。通过激光光束的照射,可以封闭出血点,减少出血范围,并促进视网膜的修复。激光治疗还可以减少视网膜新生血管的形成,从而降低再次出血的风险。
药物治疗:在某些情况下,药物治疗可能有助于减轻眼部出血和炎症。例如,可以使用抗血管内皮生长因子(VEGF)药物来减少视网膜新生血管的形成和出血。此外,还可以使用止血药、抗 炎药等药物来辅助治疗。
2.手术治疗
玻璃体切割术:如果眼底出血较多或形成血块,且影响视力较重,可能需要进行玻璃体切割术。这种手术通过切除玻璃体并清除血块,复原视网膜的正常结构,从而改善视力。
视网膜复位术:在某些情况下,如果视网膜因出血而脱离,可能需要进行视网膜复位术。这种手术通过缝合或其他方式将视网膜重新固定在眼球壁上,以复原其正常功能。
3.辅助治疗
生活方式的改变:糖尿病患者应戒烟、限酒,并避免剧烈运动,以减少对眼部血管的进一步损伤。适当的营养支持,如补充抗氧化剂和维生素等,可能有助于减轻眼部血管的炎症反应和损伤。
4.注意事项
糖尿病患者应定期进行眼科检查,以便及时发现并处理眼部病变。通过早期发现和干预,可以显著降低眼部出血的风险和并发症的发生率。每个患者的具体情况不同,因此治疗方案应根据患者的具体病情和身体状况进行个体化调整。
糖尿病引发眼部出血是一个重度的并发症,需要引起患者和医生的高度重视。通过控制血糖、激光治疗、手术治疗和定期检查等措施,可以有效预防和治疗这一并发症,保护患者的视力健康。

四、所需费用
1.抗VEGF药物:这类药物的价格相对较高,每针的价格可能在数千元左右。整个治疗过程中的花费可能会相当可观。但需要注意的是,随着医疗技术的进步和市场竞争的加剧,这类药物的价格可能会逐渐降低。
2.其他药物:类固醇药物、止血药等相对价格较低,但具体花费仍需根据患者的用药量和治疗周期来计算。
3.激光治疗:激光治疗是糖尿病眼部出血的另一种常见治疗方法。虽然激光治疗本身不需要注射药物,但其费用也需要纳入整体治疗费用的考虑范围内。激光治疗的费用因医院和地区而异,但通常不会太高。
4.手术治疗:对于病情重度的患者,可能需要进行手术治疗。手术治疗的费用相对较高,包括手术费、住院费、麻醉费等。但需要注意的是,手术治疗通常是比较靠后的选择,只有在其他治疗方法无效或病情重度到一定程度时才考虑。