阅读:463
评论:0
发布时间:2025-03-24 17:46:13
虹膜炎是一种常见的眼部疾病,导致视力受损甚至失明。。本文将详细介绍虹膜炎的病因、症状以及治疗方法,了解虹膜炎的成因和早期症状,及时采取治疗措施,帮助您更好地预防和应对这一疾病。
虹膜炎的成因多种多样,包括感染、自身免疫疾病、外伤等。了解这些成因有助于我们更好地预防和治疗虹膜炎。
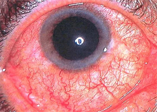
虹膜炎的早期症状包括眼红、眼痛、视力模糊等。一旦出现这些症状,应及时就医,以免延误治疗。
虹膜炎的治疗方法主要包括药物治疗和手术治疗。早期治疗可以有效控制病情,防止视力进一步受损。

预防虹膜炎的关键在于保持良好的生活习惯,避免眼部外伤,定期进行眼部检查。通过科学的预防措施,可以有效降低虹膜炎的发病率。
以下是关于虹膜炎的常见问题及其答案,帮助您更多方面地了解这一疾病。
1.虹膜炎是什么?虹膜炎是虹膜发炎的疾病。
2.虹膜炎的症状有哪些?包括眼红、眼痛、视力模糊等。
3.虹膜炎的成因是什么?成因包括感染、自身免疫疾病、外伤等。
4.虹膜炎如何诊断?通过眼科检查和病史询问。
5.虹膜炎的治疗方法有哪些?包括药物治疗和手术治疗。

6.虹膜炎可以治疗好吗?早期治疗可以有效控制病情。
7.虹膜炎会复发吗?有复发,需定期复查。
8.虹膜炎会影响视力吗?重的时导致视力受损。
9.虹膜炎的发病率高吗?发病率因地区和个人情况而异。
10.虹膜炎的预防措施有哪些?保持良好的生活习惯,避免眼部外伤。
11.虹膜炎与角膜炎有什么区别?虹膜炎是虹膜发炎,角膜炎是角膜发炎。
12.虹膜炎与结膜炎有什么区别?虹膜炎是虹膜发炎,结膜炎是结膜发炎。
13.虹膜炎与青光眼有什么区别?虹膜炎是虹膜发炎,青光眼是眼压升高。
14.虹膜炎与白内障有什么区别?虹膜炎是虹膜发炎,白内障是晶状体混浊。
15.虹膜炎与视网膜病变有什么区别?虹膜炎是虹膜发炎,视网膜病变是视网膜受损。

16.虹膜炎与视神经炎有什么区别?虹膜炎是虹膜发炎,视神经炎是视神经发炎。
17.虹膜炎与葡萄膜炎有什么区别?虹膜炎是葡萄膜炎的一种。
18.虹膜炎与眼内炎有什么区别?虹膜炎是虹膜发炎,眼内炎是眼内组织发炎。
19.虹膜炎与眼外伤有什么区别?虹膜炎是眼外伤的结果。
20.虹膜炎与眼***有什么区别?虹膜炎是虹膜发炎,眼***是眼内***。
21.虹膜炎与眼感染有什么区别?虹膜炎是眼感染的结果。
22.虹膜炎与眼寄生虫有什么区别?虹膜炎是眼寄生虫感染的结果。
文章推荐
29
/07昆明眼科医院:激光近视手术7800元起,半飞秒激光近视眼手术11800元起,晶体植入矫正手术30000元起
点击查看
29
/07辽宁大连三目家眼科:视功能快速提升疗程3000元,蔡司小乐园儿童近视防控镜2488元左右,罗敦司得单光S系列1399元左右
点击查看
28
/07聊城华厦眼科医院:全飞秒激光手术16800元起,ICL晶体植入32000元起,传统激光近视手术8000元起
点击查看
28
/07临沂华厦眼科医院:全飞秒16800元,半飞秒10800元,ICL晶体植入31600元
点击查看
28
/07聊城爱尔眼科医院:全飞秒15800元,全激光12800元起,晶体植入12500元单眼起
点击查看