19
/12治疗超高度近视_南昌洪城爱尔眼科医院有妙招
南昌洪城爱尔眼科医院拥有一支实力出众的眼科医生和有经验医护人员组成的医疗团队。他们具有丰富的临床经验和优质的技术水平,能够为患者提供高质量的眼科医疗服务。医院还配备了新型的眼科手术设备,为手术的精细性和可靠性提供了有力支持。
阅读 135
评论 0
2024-12-19
19
/12深度剖析:南昌洪城爱尔眼科医院如何用个性化方案攻克近视难题
南昌洪城爱尔眼科医院在治疗近视方面,为了满足不同患者的需求,专门为您量身设计一系列的个性化治疗方案。
阅读 218
评论 0
2024-12-19
19
/12老花眼手术适用人群,有哪些并发症,术后要注意什么
老花眼手术适用人群,有哪些并发症,术后要注意什么
阅读 648
评论 0
2024-12-19
19
/12老花眼手术:恢复清晰近视力的有效手段。
随着医疗技术的不断进步,老花眼手术为那些希望摆脱眼镜或隐形眼镜束缚的患者提供了新的选择。
阅读 247
评论 0
2024-12-19
19
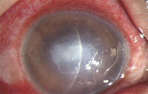
/12做角膜移植手术好的眼科医院有哪些?地址在哪里?
角膜移植是一项难度较高的手术,不是所有的眼科医院都可以操作,有很多的先决条件,下面小编就给大家介绍一下。小编推荐的这几家只是部分医院,也还有许多好的眼科,基本上这几家已经够您的选择了,看多了也许还会挑花眼哦。
阅读 211
评论 0
2024-12-19
19
/12老花眼的症状有哪些?一共有三大类
老花眼的症状有哪些
阅读 181
评论 0
2024-12-19
19
/12老花眼如何预防?牢记这四点!
老花眼是一种随着年龄增长而出现的生理性眼调节功能减弱的现象。这四点一定要牢记
阅读 205
评论 0
2024-12-19
19
/12玻璃体出血症状,眼睛玻璃体出血严重吗?
玻璃体出血的症状有哪些?玻璃体出血严重吗?
阅读 289
评论 0
2024-12-19
19
/12玻璃体混浊的原因有哪些?主要有两大类和七小类
玻璃体混浊是一种较为复杂的眼科症状,其产生原因主要包括以下几个方面
阅读 154
评论 0
2024-12-19
19
/12玻璃体浑浊的最佳治疗方法有这四种
治疗玻璃体混浊需要综合考虑多种因素,医生会根据患者的具体情况选择最适合的治疗方法,以达到最佳的治疗效果。
阅读 653
评论 0
2024-12-19
文章推荐
13
/02你不知道的蛀牙真相:不痛的蛀牙更危险!别让牙齿悄悄
点击查看
17
/12上海/北京/武汉/郑州/广州/南京/成都/重庆/杭州/深圳/西安等22个地区双眼皮手术多少钱?韩式双眼皮和埋线双眼皮,切开双眼皮有什么区别?
点击查看
17
/12冬天割双眼皮好吗?怕冻吗?适合做双眼皮手术吗?切双眼皮恢复快吗?哪些需要注意?价格贵不贵?
点击查看
12
/12深圳地区2024眼科价格表,附20家深圳地区的眼科医院地址!
点击查看
10
/122024 年 10 个地区白内障免费政策及申请方式:含武汉/西安/重庆/长沙/成都/江门……
点击查看