18
/12杭州有哪些眼科医院比较好?医院地址和价格大总结!
杭州地区各眼科医院地址和价格大盘点!
阅读 161
评论 0
2024-12-18
17
/12角膜疾病和普通眼病有什么区别吗?
角膜疾病和普通眼病在发病部位、症状表现、治疗方式、治疗费用等多个方面都存在明显的区别。在出现眼部不适症状时,应及时就医并接受资质完善医生的诊断和治疗。
阅读 196
评论 0
2024-12-17
17
/12角膜移植手术大概需要多少钱?需要等待多久?
1.如果需要进行角膜移植手术,患者应提前与眼科医院进行预约和问询,以了解手术的具体安排和准备事项。2.患者可以关注所选择医院的动态和公告,以便及时了解手术安排和角膜供体的信息。3.由于角膜移植手术的等待时间可能较长,患者需要做好心理准备,保持积极的心态和耐心。为了缩短等待角膜移植手术的时间,患者可以提前预约与问询、关注医院动态,并做好心理准备。
阅读 430
评论 0
2024-12-17
17
/12角膜疾病会不会遗传?能不能治好?
角膜疾病的治疗结果因疾病类型、重度程度以及治疗是否及时和规范而异。在日常生活中,应注意保护眼睛,避免角膜受伤和感染,一旦出现眼部不适或异常,应立即就医并进行资质完善治疗。
阅读 332
评论 0
2024-12-17
17
/12角膜肿瘤的症状是什么?怎么治疗?
角膜肿 瘤的治疗方法多种多样,应根据患者的具体情况选择合适的治疗方案,在治疗过程中,患者应积极配合医生的治疗工作,并定期复查以监测病情变化。
阅读 170
评论 0
2024-12-17
17
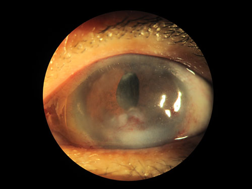
/12角膜先天异常的症状有哪些?治疗方式
角膜先天异常的症状多种多样,这些症状可能会对患者的视力和生活质量产生较大影响。1.角膜混浊:这是角膜先天异常中常见的症状之一。角膜透明度降低,呈现不同程度的混浊,影响光线进入眼内,导致视力下降。混浊可能发生在角膜的任何部位,但通常集中在中央区域。2.角膜大小和形状异常:如小角膜、大角膜、圆锥角膜等。这些异常可能导致屈光不正,影响光线的折射和聚焦,从而导致视力下降。圆锥角膜还可能引起角膜曲率异常,导致散光,看东西模糊、变形。
阅读 298
评论 0
2024-12-17
17
/12角膜变性与营养不良都有什么症状?治疗方式?
角膜变性与营养不良的治疗方法多种多样,应根据患者的具体情况选择合适的治疗方案,保持良好的生活习惯和眼部卫生也是预防和治疗这类疾病的重要措施。在治疗过程中,患者应积极配合医生的治疗工作,并定期复查以监测病情变化。
阅读 223
评论 0
2024-12-17
17
/12角膜炎有哪些症状?看看你中招没,如何预防角膜炎?
角膜炎是一种常见的眼科疾病,其症状多种多样,可能因病原体类型(如细菌、真菌或病毒)和病情重度程度而异。
阅读 189
评论 0
2024-12-17
17
/12角膜炎的治疗方式,角膜炎会自己好吗?
角膜炎的治疗方式多种多样,取决于角膜炎的具体类型、病情的重度程度以及患者的个体差异。保持眼部清洁:定期清洗眼部,避免细菌或其他病原体滋生。避免用手揉眼:防止感染加重,并减少角膜受到的刺激。避免佩戴隐形眼镜:在角膜炎发作期间,应暂停佩戴隐形眼镜,以免加重炎症。
阅读 310
评论 0
2024-12-17
17
/12角膜疾病都有哪些?哪一种角膜疾病比较严重?角膜疾病的手术方式都一样吗?
角膜疾病是指影响或损害眼睛前表面透明部分(即角膜)的各种病症,角膜疾病的种类繁多,按照不同的分类标准,可以归纳为以下几种主要类型:角膜疾病的种类繁多,成因复杂。如果出现任何与角膜病相关的症状,如视力模糊、眼部刺痛或灼烧感、充血和泪水增多等。角膜疾病中,较为重度的包括角膜溃疡、角膜白斑、角膜穿孔等,这些疾病可能导致视力重度减退或失明。
阅读 177
评论 0
2024-12-17
文章推荐
13
/02你不知道的蛀牙真相:不痛的蛀牙更危险!别让牙齿悄悄
点击查看
17
/12上海/北京/武汉/郑州/广州/南京/成都/重庆/杭州/深圳/西安等22个地区双眼皮手术多少钱?韩式双眼皮和埋线双眼皮,切开双眼皮有什么区别?
点击查看
17
/12冬天割双眼皮好吗?怕冻吗?适合做双眼皮手术吗?切双眼皮恢复快吗?哪些需要注意?价格贵不贵?
点击查看
12
/12深圳地区2024眼科价格表,附20家深圳地区的眼科医院地址!
点击查看
10
/122024 年 10 个地区白内障免费政策及申请方式:含武汉/西安/重庆/长沙/成都/江门……
点击查看